Skip to content
LISA S. BUNIN, M.D. (610)-435-5333
Facebook
YouTube
Blogger
Search for:
Home
About Us
Our Mission
Dr. Lisa Bunin
Cataract Surgery Video Testimonials
Testimonials
Write Us a Review
Affiliations
Accepted Insurance
Financing
FAQ’s
Patient Info
Patient Forms
Accepted Payment
Cosmetic Services
Blepharoplasty (Eyelift Surgery)
Facial Fillers & Injectables
The Aging Face
Botox® Cosmetic, Dysport® and Xeomin
RHA Collection of Fillers
Revance Facial Filler
Restylane Refyne & Defyne
Restylane® Silk
Restylane®
Restylane® Lyft
Radiesse®
Juvéderm® Family of Fillers
Voluma-R Lift©
Belotero®
Sculptra™ Aesthetic
Eyelid Surgery (Blepharoplasty)
Video Testimonials From Blepharoplasty Patients
Titan Skin Tightening
Skin Care Products
Private Label Skin Care
Obagi® Skin Care
ZO® Medical
Oxygenetix® Foundation
Nectifirm®
Body Slimming
Lipo-Ex™ Non-Surgical Fat Removal
Zerona®
Laser Treatments
CO2 Laser Resurfacing
AquaClean™ Facial
Silk Touch Laser Resurfacing
Erbium Laser Resurfacing
Laser Hair Removal
Spider Vein Laser Treatment
Tattoo Removal
Microneedling With PRP SkinPen®
IPL Light Treatment
AquaClean™ Facial
Microdermabrasion
Permanent Makeup
Microblading
Torn Earlobe Repair
Athena Med Spa
Skin Care Products
Private Label Skin Care
Private Label Menu of Products
CO2 Laser Resurfacing
Microdermabrasion
AquaClean™ Facial
Silk Touch Laser Resurfacing
Erbium Laser Resurfacing
IPL Light Treatment
Fotofacial® Treatment
Spider Vein Laser Treatment
Laser Hair Removal
Body Slimming
Lipo-Ex™ Non-Surgical Fat Removal
Zerona®
Titan Skin Tightening
Permanent Makeup
Microblading
Tattoo Removal
Medical Services
Ophthalmology Services
Custom Cataract Surgery
Video Testimonials from Custom Cataract Surgery Patients
Eyelid Surgery (Blepharoplasty)
IOL’s
Refractive Errors
Medical Eye Exam
Contact Lenses
Dry Eyes/Tearing Syndrome
Do I Have Dry Eye?
NEW – Xiidra for Dry Eyes
Eye Surgery
Diabetic Eye Disease
Glaucoma
Macular Degeneration
Pterygium
Floaters & Spots
Lesion Removal
Routine Eye Care
Acuity Optical
Eye Examinations
Lenses and Frames
Contact Lenses
Before & Afters
Botox, Dysport, Xeomin Before & After Photos
Facial Filler Before & After Photos
Liquid Face Lift Before & After Photos
RHA Facial Fillers Before and Afters
Lip Enhancement Before & After Pictures
Restylane Lyft Before & After Photos
Restylane® Refyne & Defyne for the Face Before and After Photos
Radiesse Before & After Photos
Juvederm Voluma XC Before & After Photos
Juvederm Ultra Plus XC Before & After Photos
Voluma R Lift Before & After Photos
Sculptra Before & After Photos
Face
Acne Scar Treatment Before & After Photos
Titan Skin Tightening Before & After Photos
Laser Resurfacing Before & After Photos
IPL Light Treatment Before & After Photos
Obagi Skin Care Before & After Photos
Permanent Makeup Before and After Photos
Blepharoplasty Before & After Photos
Blepharoplasty Video Testimonials
Eyelid Surgery and Festoons Before & After Photos
Body
Hands Rejuvenation Before and After Photos
Laser Hair Removal Before & After Photos
Zerona Body Slimming Before & After Photos
Lipo-Ex™ Non-Surgical Fat Removal
Lipo-Ex Before & After Photos
Torn Earlobe Repair Before & After Photos
Tattoo Removal Before & After Photos
Cataract Surgery Video Testimonials
News
Contact Us
Make An Appointment
Search for:
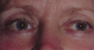
Eyelift Patient 4 After | Blepharoplasty | Dr. Lisa Bunin
Skin Care and Dermatology Expert
2015-02-17T15:58:03+00:00
Page load link
Go to Top